Ces 2 appellations désignent la même affection chromosomique.
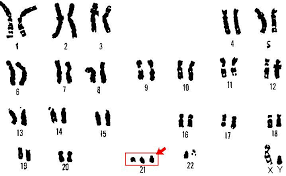
Le syndrome de Down est le terme utilisé dans les pays anglo-saxons du nom d’un médecin anglais du 19è siècle qui a décrit le syndrome. La trisomie 21 est l’appellation proposée par le Pr Jérôme Lejeune après sa découverte en 1959 de la présence d’un chromosome supplémentaire sur la carte génétique des personnes concernées. Chaque cellule de notre corps contient habituellement 23 paires de chromosomes (au total, 46 chromosomes). Les chromosomes sont représentés sous forme de batonnets qui contiennent le patrimoine génétique, spécifique pour chaque personne. Dans la trisomie 21, on constate la présence d’un chromosome supplémentaire sur la 21è paire de chromosomes, ce qui donne un nombre de 47 chromosomes dans chaque cellule d’une personne ayant une trisomie 21.

Un chromosome est constitué de gènes; dans le chromosome 21, il y a quelque 300 gènes; certains de ces gènes codent pour la production de protéines, chaque gène pour une protéine spécifique. A partir du moment où il existe un chromosome supplémentaire, l’excès de matériel génétique va déséquilibrer la production de protéines, entraîner des désordres métaboliques et donner in fine un retard de développement et des atteintes possibles de certains organes.
La personne ayant une trisomie 21 a d’abord le bagage génétique de ses parents. Son chromosome 21 supplémentaire donne certaines caractéristiques physiques comme les yeux légèrement bridés ou un tonus musculaire réduit mais d’une personne porteuse de trisomie 21 à l’autre, existent de grandes variations au niveau physique, caractère, développement intellectuel…
La majorité des enfants porteurs de trisomie 21 apprend et se développe plus lentement que les enfants ordinaires, certains avec un écart important, d’autres avec un écart plus faible. Certains parviennent à un langage bien compréhensible et d’autres ont une grande difficulté à développer un discours clair. Des enfants ayant une trisomie 21 peuvent apprendre à lire et écrire avec des outils adaptés tandis que d’autres n’ont pas ces aptitudes. A l’âge adulte, certains ont besoin d’une assistance soutenue, d’autres arrivent à un bon niveau d’autonomie et mènent une vie bien intégrée dans la société. Ces derniers deviennent plus nombreux grâce à l’amélioration de l’accompagnement dès le plus jeune âge.
On estime que la trisomie 21 concerne environ 80 nouveau-nés par an en Belgique (ce nombre doit être actualisé de par l’utilisation quasi généralisée depuis 2017 du test prénatal non invasif).